背景介绍:主动脉弓缩窄(Transverseaorticconstriction,TAC)约占先天性心血管畸形的1.1%-3.4%。缩窄多位于主动脉峡部及左锁骨下动脉远端,一般可分为导管前型和导管后型。缩窄范围通常较为局限,偶见长段缩窄,在缩窄发展过程中,可形成广泛的侧支循环。主动脉弓缩窄致左室肥厚模型是一种理想的符合人类左室肥厚病理生理过程的动物模型,借助该模型对动物进行心血管相关药物、分子生物学研究的例证较广泛。
应用方向:循环系统相关课题。
关键词:主动脉弓缩窄、TAC、Transverseaorticconstriction
实验动物:大鼠品系:SD、Wistar;小鼠品系:C57BL/6、BALB/C;以及其他
品系;周龄:6-8周;雄性。
造模方法:小鼠麻醉后,在第一肋骨和第二肋骨之间横断胸骨,钝性分离胸腺暴露主动脉弓及分支,把主动脉弓、头臂干及左颈总动脉之间筋膜撕开小口,用自制穿线器穿线,结扎缩窄主动脉弓。

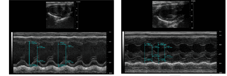
模型验证:术后8周进行心脏超声检测:结果表明与对照组相比,模型组左心室在舒张期或收缩期的直径明显缩小。

参考文献:HuberBrunoC,etal.AttenuationofcardiachypertrophybyG-CSFis
associatedwithenhancedmigrationofbonemarrow-derivedcells.[J].JCellMolMed,
2015,19:1033-41.(IF=4.486)
其他检测:如离体心肌组织HE染色等。
实验外包 想了解更多请关注:



