wepoker官网下载-wpk中文官网版-wpk客户端下载

  • 您好!欢迎访问南京东极生物科技有限公司网站!
    中国转化医学服务领航者无忧 可视 高效 专业
    全国咨询热线:025-87183621139-1599-6230
    联系我们

    【 微信扫码咨询 】

    025-87183621

    139-1599-6230

    油红O染色

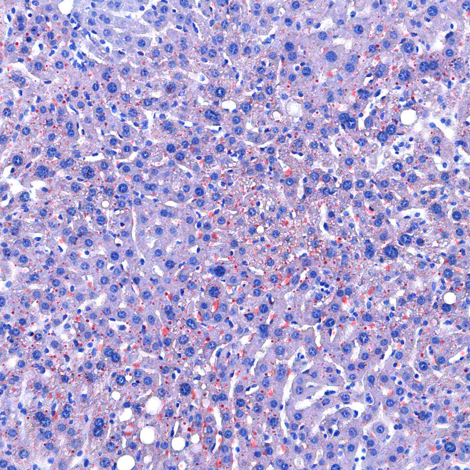
    技术原理 油红O对脂滴的染色机制一般认为是物理学上的溶液作用或吸附作用,借溶液作用使脂质染色,即油红O先溶于60%异丙醇中,然后切片浸入油红O染液中时,油红O在组织脂质的溶解度较60%异丙醇中的溶解度高,所以在染色时油红O从60%异丙醇中转移入脂质中使脂滴显示红色。实验流程实验结果展示:&

    在线咨询全国热线
    025-87183621

    技术原理

    油红O对脂滴的染色机制一般认为是物理学上的溶液作用或吸附作用,借溶液作用使脂质染色,即油红O先溶于60%异丙醇中,然后切片浸入油红O染液中时,油红O在组织脂质的溶解度较60%异丙醇中的溶解度高,所以在染色时油红O从60%异丙醇中转移入脂质中使脂滴显示红色。

    实验流程

    实验结果展示:


    <<>
    油红O-肝>

     
    送样运输要求

    1、样本放置于20倍样本体积的固定液中固定24h以上,常温运输送样。切勿固定时间过长,切勿冷冻结冰。

    2、新鲜组织干冰运输。

    3、冰冻切片-20℃运输。
     
     
     


     
    【网站地图】【sitemap】